After Alzheimer's, Parkinson's disease (PD) is the leading neurodegenerative disorder, affecting close to a million Americans, with 50,000 new cases diagnosed every year. A progressive disorder of the nervous system affecting movement, PD typically strikes adults in mid-life. In many cases, the spread of the disease to other brain areas leads to Parkinson's disease dementia, characterized by deterioration of memory, reason, attention and planning.
[adsense:336x280:8701650588]
In new research, Travis Dunckley, PhD., a researcher at Arizona State University's Biodesign Institute, examines genetic modifications associated with the development of PD and PD-associated dementia, bringing new investigative tools to bear.
The research, which appears in the current issue of the journal Neurology Genetics, uses RNA sequencing to illuminate two phenomena linked with the onset of Parkinson's disease, differential gene expression and alternative splicing of genes.
The study tracks specific gene alterations implicated in the development of Parkinson's, noting that gene expression and alternative splicing offer complementary information critical to a full understanding of disease progression. The findings deepen the scientific understanding of the disease, while suggesting new avenues for more comprehensive diagnosis.
"This work shows that the degeneration of key functional brain areas in Parkinson's disease is more genetically complex than previously appreciated," Dunckley says. "Very small changes in the way in which genes are processed, not just large changes in which genes are turned on or off, can contribute to Parkinson's disease."
Dr. Dunckley is a researcher in the newly formed Neurodegenerative Disease Research Center, a unique partnership between Arizona State University (ASU), and Banner Health. The research alliance focuses on advancing the scientific study, treatment and prevention of Alzheimer's, Parkinson's and other neurodegenerative diseases.
By marrying Phoenix-based Banner Health, one of the nation's largest nonprofit health systems, with the formidable resources of Arizona State University (ASU), one of the nation's largest public research universities, the NDRC aspires to become a national focal point for research into neurodegenerative diseases, which affect millions of people every year and take an increasing financial toll on an overburdened healthcare system.
The national economic burden of PD alone amounts to tens of billions of dollars yearly, a figure expected to grow substantially as the population ages.
Persistent menace
Parkinson's disease affects roughly 1 percent of those over 50 years old, with the incidence markedly increasing with age. Presently, there is no cure for the disease, though medication and surgery may be used to help manage some of the symptoms.
Neurons located in a region of the brain known as the substantia nigra are the primary target for Parkinson's disease. Some of these neurons produce dopamine, which decreases as the illness advances, causing deterioration of normal movement.
Neuroinflammation, oxidative stress, mitochondrial dysfunction and aberrant alternative splicing have all been implicated in the trajectory of Parkinson's disease, though precise causes of the illness--involving the deterioration of dopaminergic neurons in the mid-brain accompanied by high rates of dementia--remain murky.
The main symptoms of PD are tremor of the hands, arms, legs, jaw and face; bradykinesia (or slowness of movement); stiffness and rigidity of the limbs and trunk and impaired balance and coordination. Cell losses in other brain regions, including the brain stem and olfactory bulb, have also been implicated in Parkinson's.
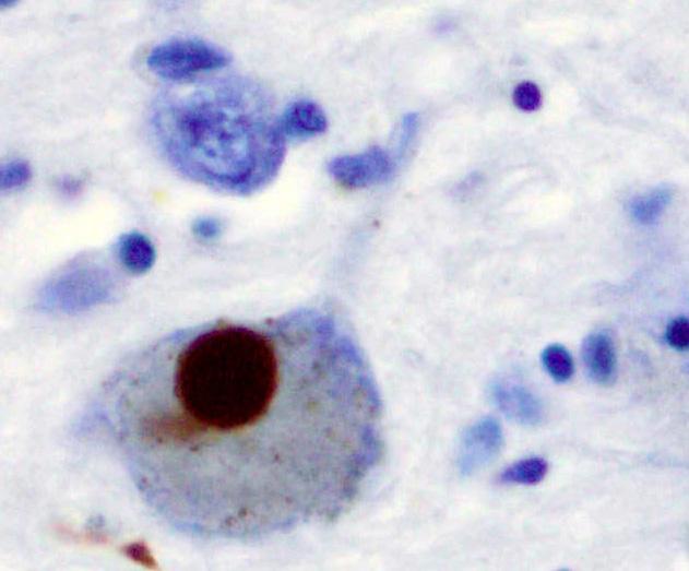
The primary neurological hallmark of the disease is the formation of so-called Lewy bodies--microscopic aggregates of a protein known as α-synuclein. Lewy bodies are involved in other neurological disorders as well, including dementia with Lewy bodies (DLB). Evidence suggests that dementia with Lewy bodies, Parkinson's disease and Parkinson's disease dementia may all be related to abnormalities in brain processing of α-synuclein.

Caption:Brain image from the Substantia nigra in Parkinson's disease, showing alpha-synuclein, a key protein implicated in the disease. Positive staining (brown) indicates an intraneural Lewy-body. Credit:Marvin 101
Sequence transformation
In the past decade, the study of gene expression has rapidly advanced, due in part to the successful sequencing of the human genome. A suite of technologies known as next-generation sequencing permits low-cost, rapid sequencing of DNA and RNA, revolutionizing the study of genomics and molecular biology. Genetic correlates of Parkinson's disease have recently been investigated, though the mechanisms associated with cellular degeneration remain poorly understood.
In the current study, RNA sequencing was used to evaluate differential gene expression in a region of the brain known as the posterior cingulate cortex, using samples from neurologically normal brains, those with Parkinson's disease and patients with Parkinson's dementia. Post-mortem samples from the posterior cingulate cortex were acquired from the Banner Sun Health Research Institute Brain Bank.
A number of genes were found to be overexpressed in the two disease states when compared with normal controls. Intriguingly, some overexpressed genes play a role in immune function while genes responsible for cell signaling or in the makeup of the cell's structural support network (known as the cytoskeleton) were underexpressed in those with Parkinson's.
The study reports on the top 20 differentially expressed genes in PD and PD dementia, comparing these with healthy controls. Genes showing overexpression included those involved with cell movement, receptor binding, cell signaling and ion homeostasis. Underexpressed genes shared an involvement with hormone signaling.
Existing studies of gene expression in Parkinson's patients however may not tell the whole story of genetic pathology. Alternative splicing of genes, observed in the new research, may also be a critical factor. Applying information on alternative splicing as well as differential gene expression provides a more nuanced picture of how Parkinson's disease damages the brain and produces the symptoms typically observed.
Genes expressed and spliced
Previous studies have implicated genetic aberrations with Parkinson's disease, particularly mutations in a gene known as LRRK2. The new study additionally evaluates splicing variants potentially involved with Parkinson's.
Alternative splicing is a common mechanism of gene control, permitting a single gene to code for multiple proteins. The process often occurs when segments of the DNA sequence in a gene--known as exons--are skipped over during the process of transcribing them into RNA. The alternatively spliced mRNA is then translated into protein variants, bearing different amino acid sequences (see illustration).
Alternative splicing occurs in around 95 percent of human genes and is responsible for an enormous expansion in Nature's palette of useful proteins. The phenomenon helps to account for the staggering biological complexity and diversity in humans despite a mere 20,000 protein-coding genes. The same process of alternative splicing however can produce aberrant proteins linked with disease states, including PD.
The new study reports significant alternative splicing of disease-specific genes in the cortex of patients with PD and PD-dementia. In particular, the researchers examined the posterior cingulate cortex, where the spread of the PD-linked protein α-synuclein is associated with PD dementia.
[adsense:468x15:2204050025]
Results showed that the genes most differentially expressed in PD are distinct from those displaying the highest degree of alternative splicing. Hence, conventional gene profiling alone omits important genetic information relevant to PD development and progression. Some of the observed alternative splicing was restricted to PD patients displaying dementia while others were associated with PD alone.
Detailed analysis of alternative splicing events can reveal aberrant splicing of key disease genes. The process can drive disease progression in a number of ways. On the one hand, alternative splicing may provoke particular pathways to become overactive, contributing to disease onset or progression. Alternatively, cells in distress during the progression of PD and PD dementia may undergo altered splicing as a result of widespread dysfunction. The authors note that future research will help distinguish between these possibilities, shedding further light on this devastating illness.
"It is our hope that further clarification of the role of these newly identified gene variants in the disease process will provide new targets for treatments that may slow or halt the unrelenting brain degeneration."
Sources: Arizona State University
Subscribe to PharmaTutor News Alerts by Email >>

