Nanobiomed Inc®., a nanomedicine and biotechnology company announced its leading-edge development of a new molecule for use in tissue and cancer diagnostics.
[adsense:336x280:8701650588]
The international scientific team under the leadership of, Assoc. Prof. Dr. Gürer G. Budak, and Dr. Mehmet Budak, discovered and pinpointed a new -natural origin- stain molecule, Prextrolin®, producing and matching the identical visual uniformity as in the nuclear stain Hemotoxylin.
Prextrolin® behaves like a "biological marker", revealing detailed cellular diagnostic parameters in histopathologic examinations within diseases and cancers
Experimental studies on the molecule have been published in The Journal of Histotechnology. The American Chemical Society has registered it with a CAS number. In May 2016, Prextrolin® was announced winner in the New Product Category at the 12th Technology Awards in Istanbul.
Hematoxylin, a raw material, and the current gold standard stain produced from the Logwood tree, native to the tropical rainforests is becoming increasingly scarce, as the tropical rainforests of Central America recede for 100 years. Hematoxylin formulas have accounted for histopathologic diagnostics with no alternatives until now, but Prextrolin® changes that.
The source for the new molecule is Poppy (Papaver phoeas), a rich molecular reservoir of Prextrolin®’s molecular precursors and other coloring molecular complexes.

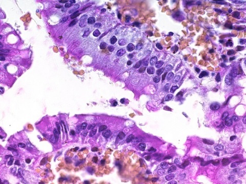
Prextrolin® provides detail information about cell and tissue pathology on human colon mucosa (X100) (Photo: Nanobiomed® @2016)
Preserving the Tropical Rainforests from Selective Regional Deforestation
When Prextrolin® is available to global the market- harvesting the logwood trees for Hemotoxylin production will be balanced. Furthermore, the consumption of various petrochemical in many sectors will reduce, preventing associated damages to the environment. So Prextrolin® is additionally expected to aid with the Earth’s eco-system
Prextrolin® is a radical new molecule expected to have significant effects across scientific and industrial sectors at all over the world. Accompanying products from this molecule are desperately in demand among other industries also such as: textile dyeing, food coloring, screen technologies (OLED TV display), sensor production, biocidal substance production, cosmetics, and printing.
The combined annual global market value of Prextrolin® is estimated to exceed 10 Billion USD for coloring technologies across multiple industries.

