Although the number of women being diagnosed and dying of ovarian cancer is declining, recurrence, drug resistance and mortality remain high for women with high-grade serous ovarian carcinoma, the most common form of epithelial ovarian cancer. A new study in the journal eLife by University of California San Diego School of Medicine researchers links changes in the gene for the protein focal adhesion kinase, or FAK, to the cancer's ability to survive chemotherapy.
"We have linked elevated levels of FAK, or gene amplification, to the survival of cancer stem cells in a new tumor model," said David D. Schlaepfer, PhD, professor in the Department of Obstetrics, Gynecology and Reproductive Sciences at UC San Diego School of Medicine, UC San Diego Moores Cancer Center researcher and co-principal investigator. "This was not expected. We knew FAK helped tumors to spread, but we were surprised to find that FAK supports DNA repair in the most important stem-like cells of the tumor. This may be an important tool that tumors use to resist platinum chemotherapy, which is the current standard of care.

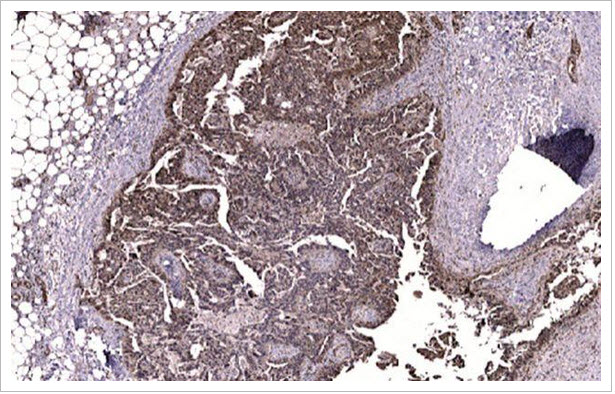
Caption Staining of a tumor biopsy isolated from a patient with ovarian cancer shows elevated levels of activated FAK (brown) within a tumor implant compared to surrounding normal tissue. Credit : UC San Diego Health Sciences
In the majority of patients, ovarian tumors exhibit high levels of FAK, said Dwayne G. Stupack, PhD, associate professor in the Division of Gynecologic Oncology at Moores Cancer Center and co-principal investigator.
"There are drugs being tested in early phase clinical trials, including at UC San Diego Health, that inhibit FAK," said Stupack. "When we treated mice that had chemo-resistant tumors with a FAK inhibitor they responded to chemotherapy. Mice that did not receive the FAK inhibitor were resistant. By understanding the biology behind this, it can help us prepare better combinations of drugs for the clinic."
The ROCKIF Trial: Re-sensitization of Carboplatin-resistant Ovarian Cancer With Kinase Inhibition of FAK, led by Michael McHale, MD, professor in the UC San Diego School of Medicine Department of Obstetrics, Gynecology and Reproductive Sciences and chief of the Division of Gynecologic Oncology Services at UC San Diego Health, is investigating the combination of the investigational FAK inhibitor defactinib with the chemotherapy drugs carboplatin and paclitaxel for patients with chemo-resistant ovarian cancer.
"If we can prevent recurrence, we may be able to provide great benefit to patients," said McHale, a co-author on the study.
The National Cancer Institute (NCI) estimates that 22,350 women will be diagnosed with ovarian cancer in 2019 and 13,980 will die. Approximately 1 in 70 women will be diagnosed with this disease in their lifetime. Breast cancer affects nine times more women than ovarian cancer, but according to the NCI, almost nine out of 10 women will survive five years or longer with breast cancer. More than half of women with ovarian cancer will die within five years of diagnosis.
Cure or remission is dependent on the elimination of all cancer cells, including microscopic disease. Ovarian cancer cells often spread to other parts of a woman's body before an official diagnosis. The cells can grow as tiny clumps or as larger balls, called tumorspheres. In the majority of patients, ovarian cancer cells develop chemotherapy resistance.
The collaborative study, led by Schlaepfer and Stupack, focused on high-grade serous ovarian carcinoma, a subtype of epithelial cancer that starts in the outer surface of the ovaries or fallopian tubes. It makes up approximately 52 percent of malignant ovarian cancer and accounts for the highest number of deaths.
Researchers compared ovarian cancer cells in mouse models at early and late stages of the disease. The late-stage, aggressive cells exhibited greater genetic changes, and could grow as tumorspheres in lab dishes. One of these changes affected the gene for FAK, which was found to have more copies than normal.
The FAK protein is an enzyme that helps cancer cells move around. In cells from mice with late-stage cancer, FAK was over-active and present at high levels. When grown as tumorspheres, the FAK-overactive tumors were more resistant to chemotherapy than their early-stage counterparts. Among patients who had received chemotherapy, the team found that surviving tumor cells also displayed high levels of FAK activity.
To understand how FAK makes ovarian cancer cells resistant to chemotherapy, the researchers used gene-editing to delete the FAK gene. They found that, without FAK, cells became deficient in a group of detoxifying enzymes as well as others that repair damaged DNA.
"Patients with ovarian cancer generally respond well to first-line therapy, but in most cases, the cancer returns," said Schlaepfer.
"We know that a subpopulation of stem-like cancer cells can survive chemotherapy and lead to recurrence, drug resistance and even death," said Schlaepfer. "These findings suggest FAK is an important and potential therapeutic vulnerability underlying tumor recurrence."
